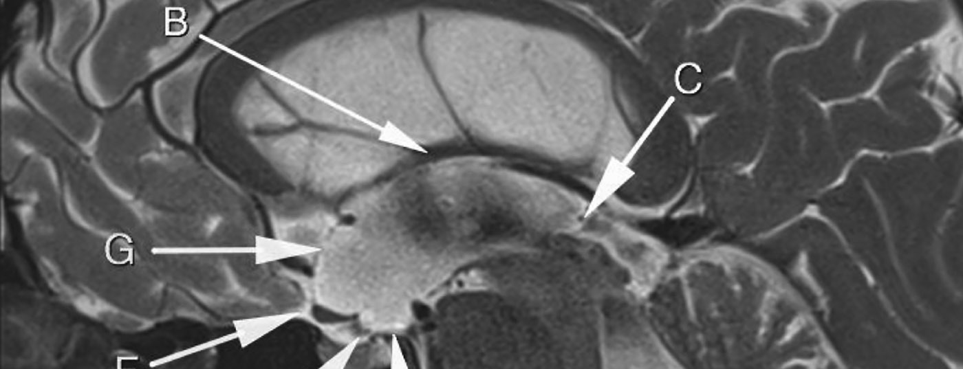
Fallbeschreibung: Wir berichten über einen 43-jährigen Patienten, der im Sommer letzten Jahres einen erstmaligen Krampfanfall erlitten hatte. Die umfangreiche Epilepsieabklärung ergab keine epilepsietypischen Potenziale. Im Rahmen der weiteren Abklärung zeigte sich aber im MRT als Zufallsbefund ein deutlicher Hydrocephalus occlusus bei proximaler Aquäduktstenose.