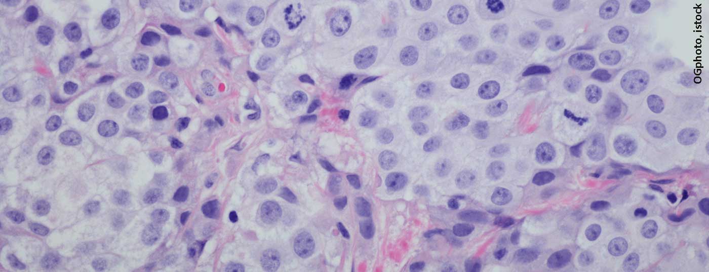
Mit schweizweit etwa 1150 Neuerkrankungen jährlich gehört das Urothelkarzinom der Harnblase zu den häufigen Krebserkrankungen des höheren Lebensalters. Insbesondere im metastasierten Setting hat sich nach langer Flaute in der Therapie einiges getan. So sind Checkpoint-Inhibitoren unterdessen etablierter Standard in der Zweitlinienbehandlung und Avelumab wurde kürzlich zur Erhaltungstherapie in der ersten Therapielinie zugelassen.
Autoren
- Prof. Dr. med. Christian Wülfing
Publikation
- InFo ONKOLOGIE & HÄMATOLOGIE
Related Topics
Dir könnte auch gefallen
- Vom Symptom zur Diagnose
Pneumologie – Covid-19: ein Rückblick
- Altersbedingte neurokognitive Störungen
Neuroprotektive Wirkungen des Ginkgo-biloba-Extrakts
Wie Herkunft und Wohnort den CF-assoziierten Diabetes fördern
- Pankreaskarzinom
Innovative Früherkennung mit Fokus auf Liquid Biopsy und KI
- Vom Symptom zur Diagnose
Abdominalschmerz – Prostataabszess
- Asthma in der Schwangerschaft
Bis zu 40% erleiden Symptomverschlechterung während der Gravidität
- Vom Symptom zur Diagnose
Komplizierte Nierenzysten
- Schweres Asthma und CRSwNP