Medizinonline Medizinonline
  • Aktuelles
    • News
    • Markt & Medizin
  • Patienten
    • Krankheitsbilder
    • Diagnostik
    • Therapie
    • Services
  • Partner-Content
    • Adipositas
      • SURMOUNT-5 Video-Serie
    • Dermatologie
      • Atopische Dermatitis und Psoriasis News
    • Diabetes
      • Dia-Month Club – Typ 2 Diabetes
      • Diabetes in Motion
      • Diabetes Podcasts
    • Gastroenterologie
      • IBD matters
    • Onkologie
      • Swiss Oncology in Motion
      • MonarchE 5-Year Data
    • Orthopädie
      • Osteoporose in motion
    • Phytotherapie
      • Podcast-Reihe
    • Pneumologie
      • RSV
    • Rheumatologie
      • Rheumatology News
  • Fachbereiche
    • Allergologie und klinische Immunologie
    • Allgemeine und Innere Medizin
    • Anästhesiologie
    • Angiologie
    • Chirurgie
    • Dermatologie und Venerologie
    • Endokrinologie und Diabetologie
    • Ernährung
    • Gastroenterologie und Hepatologie
    • Genetik
    • Geriatrie
    • Gynäkologie
    • Hämatologie
    • Infektiologie
    • Kardiologie
    • Nephrologie
    • Neurologie
    • Notfall- und Intensivmedizin
    • Nuklearmedizin
    • Onkologie
    • Ophthalmologie
    • ORL
    • Orthopädie
    • Pädiatrie
    • Pharmakologie und Toxikologie
    • Pharmazeutische Medizin
    • Phlebologie
    • Physikalische Medizin und Rehabilitation
    • Pneumologie
    • Prävention und Gesundheitswesen
    • Psychiatrie und Psychotherapie
    • Radiologie
    • Rechtsmedizin
    • Rheumatologie
    • Sportmedizin
    • Traumatologie und Unfallchirurgie
    • Tropen- und Reisemedizin
    • Urologie
    • Zahnmedizin
  • CME & Kongresse
    • CME-Fortbildung
    • SWISS ONCOLOGY in MOTION
    • SWISS MEDICINE in MOTION
    • Kongressberichte
    • Kongresskalender
  • Praxis
    • Noctimed
    • Praxismanagement
    • Jobs
    • Interviews
  • Kontakt
  • Publikationen
  • Login
  • Register
Abonnieren
Medizinonline Medizinonline
Medizinonline Medizinonline
  • Aktuelles
    • News
    • Markt & Medizin
  • Patienten
    • Krankheitsbilder
    • Diagnostik
    • Therapie
    • Services
  • Partner-Content
    • Adipositas
      • SURMOUNT-5 Video-Serie
    • Dermatologie
      • Atopische Dermatitis und Psoriasis News
    • Diabetes
      • Dia-Month Club – Typ 2 Diabetes
      • Diabetes in Motion
      • Diabetes Podcasts
    • Gastroenterologie
      • IBD matters
    • Onkologie
      • Swiss Oncology in Motion
      • MonarchE 5-Year Data
    • Orthopädie
      • Osteoporose in motion
    • Phytotherapie
      • Podcast-Reihe
    • Pneumologie
      • RSV
    • Rheumatologie
      • Rheumatology News
  • Fachbereiche
    • Fachbereiche 1-13
      • Allergologie und klinische Immunologie
      • Allgemeine und Innere Medizin
      • Anästhesiologie
      • Angiologie
      • Chirurgie
      • Dermatologie und Venerologie
      • Endokrinologie und Diabetologie
      • Ernährung
      • Gastroenterologie und Hepatologie
      • Genetik
      • Geriatrie
      • Gynäkologie
      • Hämatologie
    • Fachbereiche 14-26
      • Infektiologie
      • Kardiologie
      • Nephrologie
      • Neurologie
      • Notfall- und Intensivmedizin
      • Nuklearmedizin
      • Onkologie
      • Ophthalmologie
      • ORL
      • Orthopädie
      • Pädiatrie
      • Pharmakologie und Toxikologie
      • Pharmazeutische Medizin
    • Fachbereiche 26-38
      • Phlebologie
      • Physikalische Medizin und Rehabilitation
      • Phytotherapie
      • Pneumologie
      • Prävention und Gesundheitswesen
      • Psychiatrie und Psychotherapie
      • Radiologie
      • Rechtsmedizin
      • Rheumatologie
      • Sportmedizin
      • Traumatologie und Unfallchirurgie
      • Tropen- und Reisemedizin
      • Urologie
      • Zahnmedizin
  • CME & Kongresse
    • CME-Fortbildung
    • SWISS MEDICINE in MOTION
    • SWISS ONCOLOGY in MOTION
    • Kongressberichte
    • Kongresskalender
  • Praxis
    • Noctimed
    • Praxismanagement
    • Jobs
    • Interviews
Login

Sie haben noch keinen Account? Registrieren

Artikel nach Suchwort

Autoimmunhepatitis

3 Artikel
  • Kasuistik: 72-Jähriger mit Panzytopenie und Pyrexie

Viszerale Leishmaniose oder Autoimmunhepatitis?

Nachdem der Patient ins Krankenhaus eingewiesen worden war für die Abklärung von Fieberschüben, nächtlichen Schweissausbrüchen und einem unintendierten Gewichtsverlust von 18 kg innert sechs Monaten, stellte man eine Panzytopenie fest, wobei...…
599
Weiterlesen
  • 1 min
  • Gastroenterologie und Hepatologie

Hören Sie auf das Bauchgefühl

Es freut mich, Ihnen in der aktuellen Ausgabe von HAUSARZT PRAXIS zwei spannende Themenbereiche aus der Gastroenterologie und Hepatologie vorstellen zu dürfen. Gerade unspezifische Beschwerden und Symptome sind in der...…
1527
Weiterlesen
  • 8 min
  • Autoimmunhepatitis

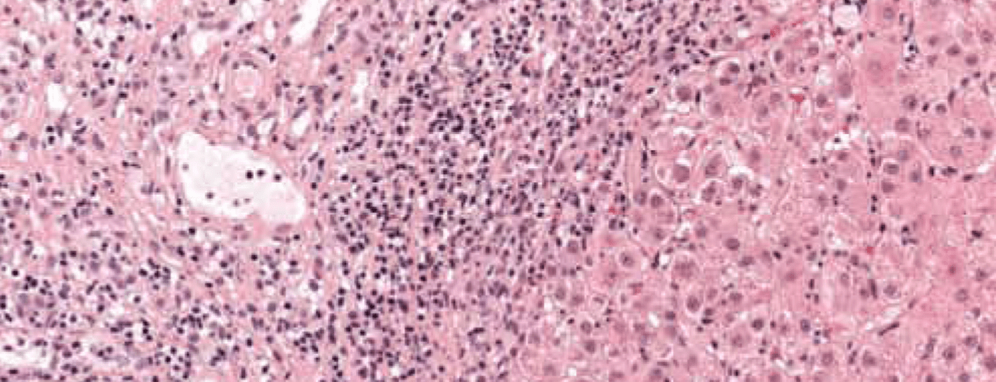
So diagnostizieren und behandeln Sie richtig

Die Autoimmunhepatitis (AIH) ist eine chronische, progressive Lebererkrankung, die durch das histologische Bild einer Interfacehepatitis, einer Hypergammaglobulinämie und zirkulierende Autoantikörper charakterisiert ist. Die AIH tritt in allen Altersgruppen auf und...…
Top CME-Fortbildungen
  • 1
    Klinische Betreuung von der Geburt bis ins Erwachsenenalter
  • 2
    Multidisziplinäre Teams in der Onkologie 
  • 3
    Multidisziplinäre Teams in der Onkologie 
  • 4
    Was wird wann bei wem getestet?
  • 5
    Molekulare Mechanismen der Tumorplastizität 

Newsletter

Melden Sie sich an und bleiben Sie auf dem Laufenden

Abonnieren
Medizinonline Medizinonline
  • Kontakt
  • AGB
  • Impressum
  • Datenschutzerklärung
  • Cookie-Richtlinie

Gib dein Suchwort ein und drücke Enter.