Medizinonline Medizinonline
  • Aktuelles
    • News
    • Markt & Medizin
  • Patienten
    • Krankheitsbilder
    • Diagnostik
    • Therapie
    • Services
  • Partner-Content
    • Adipositas
      • SURMOUNT-5 Video-Serie
    • Dermatologie
      • Atopische Dermatitis und Psoriasis News
    • Diabetes
      • Dia-Month Club – Typ 2 Diabetes
      • Diabetes in Motion
      • Diabetes Podcasts
    • Gastroenterologie
      • IBD matters
    • Onkologie
      • Swiss Oncology in Motion
      • MonarchE 5-Year Data
    • Orthopädie
      • Osteoporose in motion
    • Phytotherapie
      • Podcast-Reihe
    • Pneumologie
      • RSV
    • Rheumatologie
      • Rheumatology News
  • Fachbereiche
    • Allergologie und klinische Immunologie
    • Allgemeine und Innere Medizin
    • Anästhesiologie
    • Angiologie
    • Chirurgie
    • Dermatologie und Venerologie
    • Endokrinologie und Diabetologie
    • Ernährung
    • Gastroenterologie und Hepatologie
    • Genetik
    • Geriatrie
    • Gynäkologie
    • Hämatologie
    • Infektiologie
    • Kardiologie
    • Nephrologie
    • Neurologie
    • Notfall- und Intensivmedizin
    • Nuklearmedizin
    • Onkologie
    • Ophthalmologie
    • ORL
    • Orthopädie
    • Pädiatrie
    • Pharmakologie und Toxikologie
    • Pharmazeutische Medizin
    • Phlebologie
    • Physikalische Medizin und Rehabilitation
    • Pneumologie
    • Prävention und Gesundheitswesen
    • Psychiatrie und Psychotherapie
    • Radiologie
    • Rechtsmedizin
    • Rheumatologie
    • Sportmedizin
    • Traumatologie und Unfallchirurgie
    • Tropen- und Reisemedizin
    • Urologie
    • Zahnmedizin
  • CME & Kongresse
    • CME-Fortbildung
    • SWISS ONCOLOGY in MOTION
    • SWISS MEDICINE in MOTION
    • Kongressberichte
    • Kongresskalender
  • Praxis
    • Noctimed
    • Praxismanagement
    • Jobs
    • Interviews
  • Kontakt
  • Publikationen
  • Login
  • Register
Abonnieren
Medizinonline Medizinonline
Medizinonline Medizinonline
  • Aktuelles
    • News
    • Markt & Medizin
  • Patienten
    • Krankheitsbilder
    • Diagnostik
    • Therapie
    • Services
  • Partner-Content
    • Adipositas
      • SURMOUNT-5 Video-Serie
    • Dermatologie
      • Atopische Dermatitis und Psoriasis News
    • Diabetes
      • Dia-Month Club – Typ 2 Diabetes
      • Diabetes in Motion
      • Diabetes Podcasts
    • Gastroenterologie
      • IBD matters
    • Onkologie
      • Swiss Oncology in Motion
      • MonarchE 5-Year Data
    • Orthopädie
      • Osteoporose in motion
    • Phytotherapie
      • Podcast-Reihe
    • Pneumologie
      • RSV
    • Rheumatologie
      • Rheumatology News
  • Fachbereiche
    • Fachbereiche 1-13
      • Allergologie und klinische Immunologie
      • Allgemeine und Innere Medizin
      • Anästhesiologie
      • Angiologie
      • Chirurgie
      • Dermatologie und Venerologie
      • Endokrinologie und Diabetologie
      • Ernährung
      • Gastroenterologie und Hepatologie
      • Genetik
      • Geriatrie
      • Gynäkologie
      • Hämatologie
    • Fachbereiche 14-26
      • Infektiologie
      • Kardiologie
      • Nephrologie
      • Neurologie
      • Notfall- und Intensivmedizin
      • Nuklearmedizin
      • Onkologie
      • Ophthalmologie
      • ORL
      • Orthopädie
      • Pädiatrie
      • Pharmakologie und Toxikologie
      • Pharmazeutische Medizin
    • Fachbereiche 26-38
      • Phlebologie
      • Physikalische Medizin und Rehabilitation
      • Phytotherapie
      • Pneumologie
      • Prävention und Gesundheitswesen
      • Psychiatrie und Psychotherapie
      • Radiologie
      • Rechtsmedizin
      • Rheumatologie
      • Sportmedizin
      • Traumatologie und Unfallchirurgie
      • Tropen- und Reisemedizin
      • Urologie
      • Zahnmedizin
  • CME & Kongresse
    • CME-Fortbildung
    • SWISS MEDICINE in MOTION
    • SWISS ONCOLOGY in MOTION
    • Kongressberichte
    • Kongresskalender
  • Praxis
    • Noctimed
    • Praxismanagement
    • Jobs
    • Interviews
Login

Sie haben noch keinen Account? Registrieren

Artikel nach Suchwort

bullöses Pemphigoid

6 Artikel
  • Seltene Hauterkrankungen

Beim bullösen Pemphigoid sind Geduld und Expertise gefragt 

Direkte und indirekte Immunfluoreszenz sind beim bullösen Pemphigoid nach wie vor der Goldstandard für den Nachweis spezifischer Antikörper und Autoantikörper. Als Erstlinientherapie werden hochwirksame topische Steroide oder systemische Kortikosteroide empfohlen....…
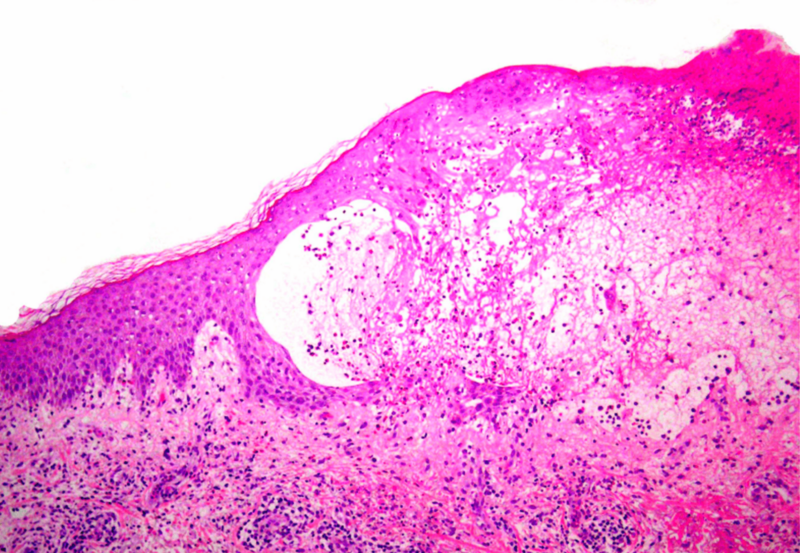
pemphigus_vulgaris_-_low_mag
Weiterlesen
  • 5 min
  • Pemphiguserkrankungen

Wie diese Autoimmundermatose heutzutage gemanagt werden kann

Blasenbildende Autoimmundermatosen der Haut zählen zu den seltenen Erkrankungen und verlaufen unbehandelt häufig tödlich. Durch eine intensive Therapie können Prognose und Lebensqualität der Betroffenen deutlich verbessert werden. Wie eine kürzlich...…
pemphigoid
Weiterlesen
  • 2 min
  • Bullöses Pemphigoid: Fallbeispiel

Immunserologischer Nachweis führte zur Diagnose

Bei einer älteren Patientin mit therapieresistenten exanthematösen Hautveränderungen konnte anhand einer ELISA IgG-Antikörperbestimmung die Diagnose Bullöses Pemphigoid gestellt werden. Der serologische Nachweis von BP180 hat eine hohe diagnostische Sensitivität und...…
baid_headerbild
Weiterlesen
  • 12 min
  • Bullöse Autoimmundermatosen

Worauf bei der Diagnose der BAID geachtet werden muss

Blasenbildende Autoimmundermatosen (BAID) sind eine Gruppe seltener, potenziell lebensbedrohlicher Erkrankungen, die klinisch durch Läsionen an Haut oder Schleimhäuten in Erscheinung treten, welche jedoch entgegen der Intuition nicht immer mit Blasenbildung...…
zurich_kongresshaus
Weiterlesen
  • 6 min
  • Zürcher Dermatologische Fortbildungstage

Aktuelle Forschung auf den Punkt gebracht

2017 gab es zahlreiche interessante Entwicklungen aus der Forschung. Darunter Vergleichsstudien zum bullösen Pemphigoid und neue Guidelines zu kosmetischen Behandlungen unter Isotretinoin. Auch zum Melanom gibt’s News.... Dieser Inhalt ist…
header_dp4_s6
Weiterlesen
  • 5 min
  • Autoimmunbullöse Dermatosen

Autoantikörper greifen Integrität der Haut an

Bullöse Autoimmundermatosen stellen eine heterogene ­Gruppe von seltenen, teils schweren Autoimmunerkrankungen dar, zu welchen die Pemphigus- und Pemphigoid-Erkrankun­gen, die Epidermolysis bullosa acquisita und die Dermatitis herpetiformis Duhring zählen. Gemeinsames Charakteristikum...…
Top CME-Fortbildungen
  • 1
    Klinische Betreuung von der Geburt bis ins Erwachsenenalter
  • 2
    Multidisziplinäre Teams in der Onkologie 
  • 3
    Multidisziplinäre Teams in der Onkologie 
  • 4
    Was wird wann bei wem getestet?
  • 5
    Molekulare Mechanismen der Tumorplastizität 

Newsletter

Melden Sie sich an und bleiben Sie auf dem Laufenden

Abonnieren
Medizinonline Medizinonline
  • Kontakt
  • AGB
  • Impressum
  • Datenschutzerklärung
  • Cookie-Richtlinie

Gib dein Suchwort ein und drücke Enter.