Medizinonline Medizinonline
  • Aktuelles
    • News
    • Markt & Medizin
  • Patienten
    • Krankheitsbilder
    • Diagnostik
    • Therapie
    • Services
  • Partner-Content
    • Adipositas
      • SURMOUNT-5 Video-Serie
    • Dermatologie
      • Atopische Dermatitis und Psoriasis News
    • Diabetes
      • Dia-Month Club – Typ 2 Diabetes
      • Diabetes in Motion
      • Diabetes Podcasts
    • Gastroenterologie
      • IBD matters
    • Onkologie
      • Swiss Oncology in Motion
      • MonarchE 5-Year Data
    • Orthopädie
      • Osteoporose in motion
    • Phytotherapie
      • Podcast-Reihe
    • Pneumologie
      • RSV
    • Rheumatologie
      • Rheumatology News
  • Fachbereiche
    • Allergologie und klinische Immunologie
    • Allgemeine und Innere Medizin
    • Anästhesiologie
    • Angiologie
    • Chirurgie
    • Dermatologie und Venerologie
    • Endokrinologie und Diabetologie
    • Ernährung
    • Gastroenterologie und Hepatologie
    • Genetik
    • Geriatrie
    • Gynäkologie
    • Hämatologie
    • Infektiologie
    • Kardiologie
    • Nephrologie
    • Neurologie
    • Notfall- und Intensivmedizin
    • Nuklearmedizin
    • Onkologie
    • Ophthalmologie
    • ORL
    • Orthopädie
    • Pädiatrie
    • Pharmakologie und Toxikologie
    • Pharmazeutische Medizin
    • Phlebologie
    • Physikalische Medizin und Rehabilitation
    • Pneumologie
    • Prävention und Gesundheitswesen
    • Psychiatrie und Psychotherapie
    • Radiologie
    • Rechtsmedizin
    • Rheumatologie
    • Sportmedizin
    • Traumatologie und Unfallchirurgie
    • Tropen- und Reisemedizin
    • Urologie
    • Zahnmedizin
  • CME & Kongresse
    • CME-Fortbildung
    • SWISS ONCOLOGY in MOTION
    • SWISS MEDICINE in MOTION
    • Kongressberichte
    • Kongresskalender
  • Praxis
    • Noctimed
    • Praxismanagement
    • Jobs
    • Interviews
  • Kontakt
  • Publikationen
  • Login
  • Register
Abonnieren
Medizinonline Medizinonline
Medizinonline Medizinonline
  • Aktuelles
    • News
    • Markt & Medizin
  • Patienten
    • Krankheitsbilder
    • Diagnostik
    • Therapie
    • Services
  • Partner-Content
    • Adipositas
      • SURMOUNT-5 Video-Serie
    • Dermatologie
      • Atopische Dermatitis und Psoriasis News
    • Diabetes
      • Dia-Month Club – Typ 2 Diabetes
      • Diabetes in Motion
      • Diabetes Podcasts
    • Gastroenterologie
      • IBD matters
    • Onkologie
      • Swiss Oncology in Motion
      • MonarchE 5-Year Data
    • Orthopädie
      • Osteoporose in motion
    • Phytotherapie
      • Podcast-Reihe
    • Pneumologie
      • RSV
    • Rheumatologie
      • Rheumatology News
  • Fachbereiche
    • Fachbereiche 1-13
      • Allergologie und klinische Immunologie
      • Allgemeine und Innere Medizin
      • Anästhesiologie
      • Angiologie
      • Chirurgie
      • Dermatologie und Venerologie
      • Endokrinologie und Diabetologie
      • Ernährung
      • Gastroenterologie und Hepatologie
      • Genetik
      • Geriatrie
      • Gynäkologie
      • Hämatologie
    • Fachbereiche 14-26
      • Infektiologie
      • Kardiologie
      • Nephrologie
      • Neurologie
      • Notfall- und Intensivmedizin
      • Nuklearmedizin
      • Onkologie
      • Ophthalmologie
      • ORL
      • Orthopädie
      • Pädiatrie
      • Pharmakologie und Toxikologie
      • Pharmazeutische Medizin
    • Fachbereiche 26-38
      • Phlebologie
      • Physikalische Medizin und Rehabilitation
      • Phytotherapie
      • Pneumologie
      • Prävention und Gesundheitswesen
      • Psychiatrie und Psychotherapie
      • Radiologie
      • Rechtsmedizin
      • Rheumatologie
      • Sportmedizin
      • Traumatologie und Unfallchirurgie
      • Tropen- und Reisemedizin
      • Urologie
      • Zahnmedizin
  • CME & Kongresse
    • CME-Fortbildung
    • SWISS MEDICINE in MOTION
    • SWISS ONCOLOGY in MOTION
    • Kongressberichte
    • Kongresskalender
  • Praxis
    • Noctimed
    • Praxismanagement
    • Jobs
    • Interviews
Login

Sie haben noch keinen Account? Registrieren

Artikel nach Suchwort

Fallbeispiel

6 Artikel
  • Fallbeispiel

Wiedemann‑Steiner-Syndrom bei einer 2-Jährigen

Bei der Patientin, die einen Phänotyp aufwies, der durch Hypertelorismus, dicke Augenbrauen und andere Merkmale gekennzeichnet war, wurde eine c.517C>T Nonsense-Mutation im KMT2A-Gen festgestellt. Diese seltene heterozygote Mutation führt zu...…
Weiterlesen
  • 4 min
  • Fallbeispiel

Opportunistische Infektion durch Serratia marcescens

Immungeschwächte Personen weisen teilweise ein beträchtlich erhöhtes Risiko für opportunistische Infektionen auf. Serratia marcescens ist ein gramnegatives Bakterium, das zur Familie der Enterobacteriaceae zählt und im vorliegenden Fall als Erreger...…
Weiterlesen
  • 6 min
  • Fallbeispiel

Pemphigus – von der Befunderhebung zur Therapie

Bei Pemphigus-Erkrankungen handelt es sich um potenziell lebensbedrohliche, blasenbildende Autoimmunkrankheiten. Der Nachweis der Akantholyse erfolgt durch Haut- oder Schleimhautbiopsie. Im vorliegenden Fallbeispiel wurde ein 82-jähriger Mann aufgrund eines generalisierten Exanthems...…
Weiterlesen
  • 3 min
  • Sponsored Content: Bronchialkarzinom mit MET Exon 14 Skipping Mutation

Mit zielgerichteten Therapien gegen den Tumorprogress

Fallbericht von Dr. med. Stefan Greuter, rundum onkologie ag, Sargans... Dieser Inhalt ist nur für Benutzer der Gruppe: Medizinische Fachperson zugänglich Jetzt beitretenAlready a member? Hier einloggen
Weiterlesen
  • 1 min
  • Fallbeispiel aus der Klinik

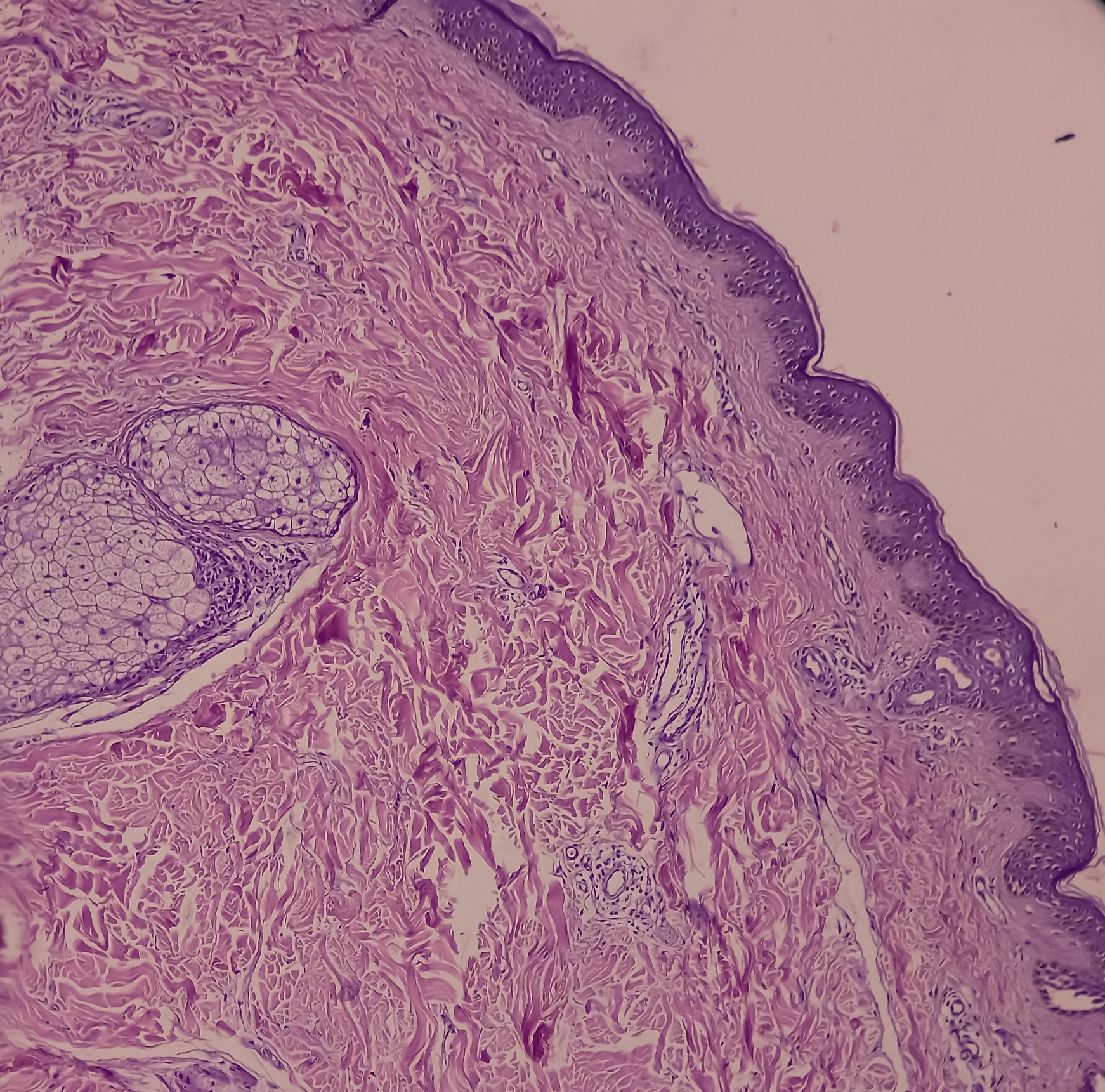
Atypische dermale Melanozytose

Bei einem pädiatrischen Patienten führte eine atypische dermale Melanozytose zur Diagnose von Mucopolysaccharidose Typ II, auch bekannt als «Morbus Hunter».... Dieser Inhalt ist nur für Benutzer der Gruppe: Medizinische Fachperson…
nase_schnupfen_istock-468447672
Weiterlesen
  • 3 min
  • Off-Label-Einsatz von Dupilumab

16-Jähriger kann wieder durchatmen

Ärzte von der Klinik für Hals-, Nasen- und Ohrenheilkunde des Universitätsklinikums Giessen und Marburg hatten es bei einem 16-jährigen Patienten mit einer besonders ausgeprägten chronischen Rhinosinusitis mit nasalen Polypen (CRScNP)...…
Top CME-Fortbildungen
  • 1
    Klinische Betreuung von der Geburt bis ins Erwachsenenalter
  • 2
    Multidisziplinäre Teams in der Onkologie 
  • 3
    Multidisziplinäre Teams in der Onkologie 
  • 4
    Was wird wann bei wem getestet?
  • 5
    Molekulare Mechanismen der Tumorplastizität 

Newsletter

Melden Sie sich an und bleiben Sie auf dem Laufenden

Abonnieren
Medizinonline Medizinonline
  • Kontakt
  • AGB
  • Impressum
  • Datenschutzerklärung
  • Cookie-Richtlinie

Gib dein Suchwort ein und drücke Enter.