Medizinonline Medizinonline
  • Aktuelles
    • News
    • Markt & Medizin
  • Patienten
    • Krankheitsbilder
    • Diagnostik
    • Therapie
    • Services
  • Partner-Content
    • Adipositas
      • SURMOUNT-5 Video-Serie
    • Dermatologie
      • Atopische Dermatitis und Psoriasis News
    • Diabetes
      • Dia-Month Club – Typ 2 Diabetes
      • Diabetes in Motion
      • Diabetes Podcasts
    • Gastroenterologie
      • IBD matters
    • Onkologie
      • Swiss Oncology in Motion
      • MonarchE 5-Year Data
    • Orthopädie
      • Osteoporose in motion
    • Phytotherapie
      • Podcast-Reihe
    • Pneumologie
      • RSV
    • Rheumatologie
      • Rheumatology News
  • Fachbereiche
    • Allergologie und klinische Immunologie
    • Allgemeine und Innere Medizin
    • Anästhesiologie
    • Angiologie
    • Chirurgie
    • Dermatologie und Venerologie
    • Endokrinologie und Diabetologie
    • Ernährung
    • Gastroenterologie und Hepatologie
    • Genetik
    • Geriatrie
    • Gynäkologie
    • Hämatologie
    • Infektiologie
    • Kardiologie
    • Nephrologie
    • Neurologie
    • Notfall- und Intensivmedizin
    • Nuklearmedizin
    • Onkologie
    • Ophthalmologie
    • ORL
    • Orthopädie
    • Pädiatrie
    • Pharmakologie und Toxikologie
    • Pharmazeutische Medizin
    • Phlebologie
    • Physikalische Medizin und Rehabilitation
    • Pneumologie
    • Prävention und Gesundheitswesen
    • Psychiatrie und Psychotherapie
    • Radiologie
    • Rechtsmedizin
    • Rheumatologie
    • Sportmedizin
    • Traumatologie und Unfallchirurgie
    • Tropen- und Reisemedizin
    • Urologie
    • Zahnmedizin
  • CME & Kongresse
    • CME-Fortbildung
    • SWISS ONCOLOGY in MOTION
    • SWISS MEDICINE in MOTION
    • Kongressberichte
    • Kongresskalender
  • Praxis
    • Noctimed
    • Praxismanagement
    • Jobs
    • Interviews
  • Kontakt
  • Publikationen
  • Login
  • Register
Abonnieren
Medizinonline Medizinonline
Medizinonline Medizinonline
  • Aktuelles
    • News
    • Markt & Medizin
  • Patienten
    • Krankheitsbilder
    • Diagnostik
    • Therapie
    • Services
  • Partner-Content
    • Adipositas
      • SURMOUNT-5 Video-Serie
    • Dermatologie
      • Atopische Dermatitis und Psoriasis News
    • Diabetes
      • Dia-Month Club – Typ 2 Diabetes
      • Diabetes in Motion
      • Diabetes Podcasts
    • Gastroenterologie
      • IBD matters
    • Onkologie
      • Swiss Oncology in Motion
      • MonarchE 5-Year Data
    • Orthopädie
      • Osteoporose in motion
    • Phytotherapie
      • Podcast-Reihe
    • Pneumologie
      • RSV
    • Rheumatologie
      • Rheumatology News
  • Fachbereiche
    • Fachbereiche 1-13
      • Allergologie und klinische Immunologie
      • Allgemeine und Innere Medizin
      • Anästhesiologie
      • Angiologie
      • Chirurgie
      • Dermatologie und Venerologie
      • Endokrinologie und Diabetologie
      • Ernährung
      • Gastroenterologie und Hepatologie
      • Genetik
      • Geriatrie
      • Gynäkologie
      • Hämatologie
    • Fachbereiche 14-26
      • Infektiologie
      • Kardiologie
      • Nephrologie
      • Neurologie
      • Notfall- und Intensivmedizin
      • Nuklearmedizin
      • Onkologie
      • Ophthalmologie
      • ORL
      • Orthopädie
      • Pädiatrie
      • Pharmakologie und Toxikologie
      • Pharmazeutische Medizin
    • Fachbereiche 26-38
      • Phlebologie
      • Physikalische Medizin und Rehabilitation
      • Phytotherapie
      • Pneumologie
      • Prävention und Gesundheitswesen
      • Psychiatrie und Psychotherapie
      • Radiologie
      • Rechtsmedizin
      • Rheumatologie
      • Sportmedizin
      • Traumatologie und Unfallchirurgie
      • Tropen- und Reisemedizin
      • Urologie
      • Zahnmedizin
  • CME & Kongresse
    • CME-Fortbildung
    • SWISS MEDICINE in MOTION
    • SWISS ONCOLOGY in MOTION
    • Kongressberichte
    • Kongresskalender
  • Praxis
    • Noctimed
    • Praxismanagement
    • Jobs
    • Interviews
Login

Sie haben noch keinen Account? Registrieren

Artikel nach Suchwort

LGD

1 Artikel
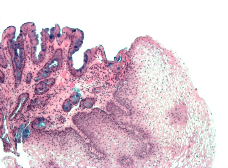
  • Risikostratifizierung bei Barrett-Ösophagus

Pathologietest schlägt menschliche Experten

Geringgradige Dysplasie ist mit einem erhöhten Progressionsrisiko bei Barrett-Ösophagus assoziiert, aber die Diagnose von LGD ist durch erhebliche Variabilität zwischen den Beobachtern eingeschränkt. Mehrere Studien haben gezeigt, dass der Gewebesystem-Pathologietest...…
Top CME-Fortbildungen
  • 1
    Klinische Betreuung von der Geburt bis ins Erwachsenenalter
  • 2
    Multidisziplinäre Teams in der Onkologie 
  • 3
    Multidisziplinäre Teams in der Onkologie 
  • 4
    Was wird wann bei wem getestet?
  • 5
    Molekulare Mechanismen der Tumorplastizität 

Newsletter

Melden Sie sich an und bleiben Sie auf dem Laufenden

Abonnieren
Medizinonline Medizinonline
  • Kontakt
  • AGB
  • Impressum
  • Datenschutzerklärung
  • Cookie-Richtlinie

Gib dein Suchwort ein und drücke Enter.